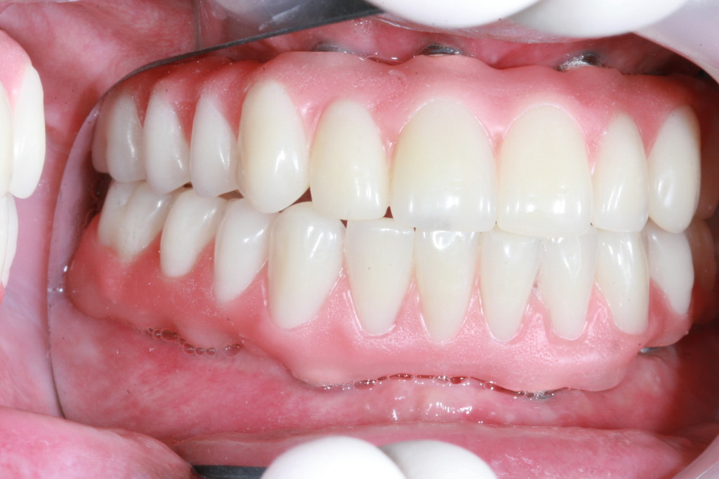
If you’ve lost most or all of your teeth, full mouth dental implants offer a life-changing solution that restores your smile, your bite, and your confidence — permanently.
At Osuna Dental Care, we specialize in Full Mouth Dental Implants and All-on-4® treatments that provide secure, long-lasting results. Unlike traditional dentures, full mouth implants look, feel, and function just like your natural teeth.
We offer free consultations with 3D X-rays included, transparent pricing, and flexible payment plans to make your new smile affordable.

Full mouth dental implants replace an entire upper and/or lower arch of missing teeth using a series of dental implants strategically placed in the jawbone.
These implants act as sturdy anchors for a fixed bridge or denture, giving you a strong, permanent smile that doesn’t slip or move like traditional dentures.
At Osuna Dental Care, Dr. Chris Kim, DDS and Dr. Christopher Graham, DDS use advanced 3D CBCT imaging to plan each case precisely, ensuring the best comfort, stability, and long-term success.
All-on-4® Dental Implants
The most popular option for full arch restoration, All-on-4 uses just four dental implants to support a full set of new teeth.
Minimally invasive
Restores your entire smile in one day
Often avoids the need for bone grafting
Fixed (non-removable) for natural comfort and function
Now available for $15,999 per arch — includes consultation, 3D X-rays, and transparent pricing breakdown.
All-on-6 Dental Implants
This treatment uses six implants per arch, offering even more stability for patients with sufficient bone structure.
Enhanced support and strength
Ideal for patients seeking extra durability
Custom-made bridge for natural aesthetics
Customized Implant supported bridges and crowns
Customized planning to restore function and esthetic.

A more affordable full-mouth solution, implant-retained dentures use 2–6 implants per arch to anchor your denture securely in place.
Snaps in and out easily for cleaning
More comfortable than traditional dentures
Prevents jawbone deterioration
Includes free exam and 3D X-rays — payment plans available through CareCredit, Cherry, and Sunbit.
Permanent, stable solution
Restores up to 95% of natural bite strength
Prevents bone loss and facial sagging
No slipping or clicking like dentures
Improves confidence, comfort, and quality of life
Our patients often tell us they wish they had done it sooner — the results are truly transformative.
🦷 Why Choose Osuna Dental Care?
Over 30 years serving Albuquerque families
Advanced 3D CBCT imaging and digital implant planning
Trusted implant and restorative dentistry experts -> Thousands of smiles restored, Hundreds of continuing education hours with AAID and ADA
4.9+ star reviews from happy patients -> Over 1500 5-star Google Reviews!
Friendly, personalized care from start to finish
Your new smile starts with a single call — and your consultation is completely free.
When teeth begin to fail one by one—or a patient has been living with dentures for years—the emotional and physical toll is impossible to ignore. Eating becomes a challenge, smiling becomes a self-conscious act, and day-to-day quality of life slowly declines. For many patients in Albuquerque, the solution they’ve been searching for isn’t another temporary fix—it’s a full-mouth dental implant transformation that restores strength, stability, comfort, and confidence.
Full mouth dental implants rebuild all the teeth in one or both arches using a series of titanium implants and a custom-designed prosthesis. This treatment offers a level of stability and natural feel that traditional dentures and partials simply can’t match. At Osuna Dental Care, we use CBCT-guided planning, advanced digital workflows, and high-strength restorative materials to ensure predictable, long-lasting results.
Whether you’re exploring full-arch treatment for the first time or comparing it with dentures, All-on-4®, or implant-supported options, this page will guide you through every detail of the full mouth implant process and why it is considered the gold standard for total smile reconstruction.
Full mouth dental implants replace all the teeth in an arch using multiple implants—typically between 6 to 8 implants per arch—to support a fixed, non-removable prosthesis. If All-on-4® is the streamlined, minimalist version of fixed full-arch treatment, then full mouth implants are the maximum stability, maximum precision, maximum longevity version.
A strong, fixed set of teeth
A much more natural bite force compared to dentures
Proper lip, cheek, and facial support
A design catered to chewing, speech, and long-term durability
Lifelong protection of bone levels
A highly customized aesthetic result
Patients who choose this option want the best possible long-term performance, and they want teeth that feel truly natural—not removable, not temporary, not delicate.
Many Albuquerque patients compare these options side by side during consultations. While both are excellent solutions, they are suited to different needs.
Uses 4 implants
Works well even with significant bone loss
Most affordable fixed option
Same-day provisional teeth
Uses 6–8 implants
Stronger long-term biomechanics
Better force distribution
Reduced stress on each implant
More customization in prosthetic design
Higher durability for heavy bite patterns or grinders
Patients who want the most secure, most durable, and most natural-feeling full-arch solution often gravitate toward full mouth implants.
Learn more about All-on-4:
https://osunadentalcare.com/all-on-four-dental-implants-in-albuquerque-nm
You may be a candidate if you:
Have multiple missing or failing teeth
Wear dentures but dislike the fit or function
Struggle with teeth breaking, shifting, or recurring infections
Want a solution that does not come in and out
Desire the best long-term chewing strength
Have sufficient bone, or are willing to complete grafting
Patients who have been told “you don’t have enough bone” are often still candidates after evaluation with our CBCT scan. We offer:
Sinus lift surgery
https://osunadentalcare.com/sinus-lift-albuquerque
Bone grafting
https://osunadentalcare.com/bone-grafting-in-albuquerque
Ridge augmentation
Guided implant surgery
https://osunadentalcare.com/guided-dental-implant-surgery-in-albuquerque-nm
These procedures allow many patients—who previously thought full-arch implants were impossible—to achieve predictable long-term outcomes.
Every full-arch case begins with a 3D CBCT scan to clearly evaluate:
available bone height and width
sinus anatomy
nerve location
tooth positions
bite alignment
existing infections
the quality of bone in critical implant zones
This imaging gives us a full picture of your oral health and allows us to plan treatment to millimeter-level accuracy.
Using advanced software, we plan implant positions based on:
AP spread
cortical engagement
restorative space
prosthetic emergence profiles
cross-arch biomechanics
whether 6 or 8 implants are required
long-term load distribution
This is the stage where full-mouth implants differ significantly from other systems: the design is stronger, more stable, and more customized.
On the day of surgery:
failing teeth are removed
bone is leveled or smoothed if necessary
implants are placed with guided precision
multi-unit abutments are secured
stability is measured to evaluate immediate loading
If implant torque and stability are ideal, we can often provide same-day fixed temporary teeth, allowing patients to walk out with a fully transformed smile.
Over the next several months, your implants fuse with the bone.
During this period, your temporary prosthesis protects the implants while we closely monitor healing and evaluate comfort, bite, function, and esthetics.
Once healing is complete, we take digital impressions to create a long-term prosthesis made from:
monolithic zirconia
zirconia with layered esthetics
titanium-reinforced hybrid materials
nano-ceramics
The final restoration is evaluated based on:
esthetic goals
bite force patterns
wear habits
speech
smile line
facial symmetry
Patients often describe the final prosthesis as the first time they’ve felt like themselves again in years.
We believe in being transparent and realistic about pricing.
At Osuna Dental Care:
$4,000
$5,000 if complex or requires advanced grafting
~$12,000 per arch
~$16,000 per arch
These fees include high-quality materials, advanced planning, CBCT imaging, and restorative design.
Every case is unique, so exact pricing is determined after your consultation and 3D scan.
For more details on implant pricing, see:
https://osunadentalcare.com/dental-implant-cost-albuquerque
Removable
Can slip or shift
Pressure on soft tissue
Limited chewing power
Loss of taste with upper dentures due to palate coverage
Accelerated bone loss over time
Fixed and non-removable
Strong biting force
No rubbing or pressure points
No palate coverage
Improved facial support
Protection against bone loss
Significantly more natural function
Patients who switch from dentures to full-mouth implants often say it’s the best lifestyle change they’ve ever made.
We incorporate specialized techniques when needed, such as:
Guided implant surgery
Immediate-load protocols
PRF/PRP therapy to enhance healing
Sinus elevation (lateral or crestal)
Ridge preservation
Implant design selection for challenging anatomy
Angled posterior implants for improved AP spread
For patients with severe bone loss, we offer evaluation for advanced full-arch solutions such as:
Zygomatic implants
https://osunadentalcare.com/zygoma-dental-implants
Pterygoid implants
Custom bone grafting solutions
These options help patients who previously believed implants weren’t possible.
Our approach is centered on precision, experience, and patient comfort. Full mouth reconstruction isn’t a quick procedure—it’s a combination of surgical planning, prosthetic artistry, and long-term bite engineering.
Patients choose us because we offer:
CBCT-based digital planning
Guided surgery for accuracy
Multiple implant system options
Intraoral scanning for comfortable impressions
Advanced esthetic design for final teeth
A team skilled in implant surgery and restorative dentistry
Clear communication and customized care
Transparent fees with no surprises
You’re not rushed through treatment. We carefully evaluate every detail to ensure stability, comfort, and longevity.
Most patients experience mild soreness for a few days. Guided surgery minimizes tissue trauma, making healing comfortable for most individuals.
Yes. After healing, you can eat nearly any food you enjoy.
The implants themselves often last decades. Prosthetic teeth may need periodic updates or replacements depending on wear.
Yes. Many patients choose monthly financing plans to make treatment predictable and accessible.
Not always. Some patients have enough bone for immediate placement, while others benefit from grafting or sinus procedures.
You deserve a smile that looks natural, feels secure, and gives you confidence every day.
If you’re ready to explore a complete, fixed solution for missing or failing teeth, schedule a consultation with Osuna Dental Care today.
We proudly serve Albuquerque, Rio Rancho, Corrales, the North Valley, and surrounding communities.
Osuna Dental Care
5900 Cubero Dr NE Ste B
Albuquerque, NM 87109
(505) 884-1989
If you’re searching for an “emergency dentist near me”, we offer same-day appointments for pain relief, broken teeth, or lost crowns.
Call (505) 884-1989
We believe everyone deserves a confident, healthy smile.
Cash, Credit, or Check accepted
Payment Plans / Financing available through Cherry, CareCredit, Sunbit
Works with most dental insurances, including: Delta Dental, Aetna, Metlife, Cigna, Ameritas, Guardian, Humana, Blue Cross Blue Shield, United Health Care, United Concordia, and Medicare dental plans.
Office Location: 5900 Cubero Dr NE STE B, Albuquerque, NM 87109
Serving: Albuquerque, Rio Rancho, North Valley, Los Ranchos De Albuquerque, Northeast Heights, Uptown, and surrounding New Mexico communities
Osuna Dental Care | Dentist in Albuquerque, NM
Comprehensive Family, Cosmetic, and Implant Dentistry
5900 Cubero Dr NE STE B, Albuquerque, NM 87109
(505) 884-1989
Convenient Location Near:
Albuquerque Academy
Paseo del Norte & I-25 intersection
Jefferson Middle School
Academy and Wyoming
Easy access from Northeast Heights
Parking: Free, ample parking available directly in front of our office
Phone: (505) 884-1989
Office Hours:
Monday: 7:00 AM - 4:00 PM
Tuesday: 7:00 AM – 4:00 PM
Wednesday: 7:00 AM – 5:00 PM
Thursday: 8:00 AM – 5:00 PM
Friday: 7:00 AM – 4:00 PM
Saturday, Sunday: Closed