Heal Comfortably. Protect Your Implant. Get Back to Smiling.
Dental Implant Post-Operative Care in Albuquerque, NM
Simple guidance for smooth healing and long-term implant success
Proper care after dental implant surgery is essential for comfortable healing and long-lasting results. At Osuna Dental Care, we provide clear, easy-to-follow post-operative instructions to help protect your implant, minimize discomfort, and support healthy integration with your jawbone.
Whether you received a single implant, multiple implants, or a full-arch solution, our team is here to guide you every step of the way.
Questions during recovery? Call us anytime.
Your comfort and peace of mind are our priority.

Dental implants are one of the most predictable and durable tooth replacement solutions available—but successful healing depends on proper post-operative care. At Osuna Dental Care in Albuquerque, NM, we guide every implant patient through a clear, step-by-step recovery process designed to reduce discomfort, protect the surgical site, and ensure long-term implant stability.
Most patients are surprised by how mild implant recovery feels when instructions are followed carefully. From managing swelling and discomfort to eating safely and keeping the area clean, proper aftercare helps your implant integrate smoothly with the jawbone and lowers the risk of complications.
This page outlines what to expect after implant surgery, what is normal during healing, and when to contact our office. Whether you’ve had a recent implant placement or are preparing for treatment, these guidelines will help you heal confidently and comfortably.
Swelling usually peaks around day 2–3, then quickly gets better. This is completely normal!
Simple ways to stay comfortable:
• Continue icing the outside of your face the first 2 days
• Sleep with your head elevated
• Take ibuprofen 400–600 mg every 6–8 hours (or prescribed medication). Take Tylenol or Acetaminophen in between the ibuprofens for added effects.
• Rest — your body heals faster when you relax

Stick to soft, cool, or lukewarm foods and you’ll heal faster with almost no pain.
Best choices the first few days:
• Yogurt, smoothies, oatmeal, scrambled eggs
• Soup (not too hot), mashed potatoes, pasta
• Chew on the opposite side of the implant
Avoid:
• Hard, crunchy, spicy, or very hot foods • Straws and vigorous exercise for 48–72 hours
Light walking is fine — just take it easy!
A little soreness, minor bleeding, and swelling that improves daily are all perfectly normal.
Please call or text us right away if you notice:
• Increasing pain after day 4
• Bleeding that won’t stop with gentle pressure
• Fever over 101 °F
• Pus, bad taste, or loosening of the implant
These things are rare, but we’re here 24/7 if anything worries you. Your peace of mind (and a perfect healing result) is our top priority!
Dental implants are one of the most predictable and long-lasting treatments in modern dentistry, but successful healing begins with proper post-operative care. At Osuna Dental Care in Albuquerque, we guide every implant patient through a clear, step-by-step recovery plan designed to protect the surgical area, support fast healing, and ensure strong long-term integration of the implant with the jawbone. Whether you received a single implant, multiple implants, or a full-arch solution such as All-on-4, following these instructions helps your recovery progress comfortably and predictably. Our goal is simple: give you the knowledge and confidence to heal well so your new implant can last for decades.
The first day after implant placement is the most important for protecting the surgical site. It is normal to experience mild bleeding, swelling, or tenderness. Bite gently on the gauze provided, replacing it as needed until the bleeding slows. Keeping your head elevated when resting helps minimize swelling. You may apply ice packs externally against the cheek for 10–15 minutes at a time during the first day. Avoid touching the surgical area with your tongue and refrain from rinsing vigorously, smoking, or using straws—suction can disturb early healing.
Swelling usually peaks within 48–72 hours and gradually decreases over the next several days. Most patients report that discomfort is much milder than expected. Over-the-counter pain relief is often adequate, but if you were prescribed medication, take it exactly as directed. Staying hydrated, avoiding strenuous activity, and resting adequately support your body’s natural healing response. Tenderness should improve steadily; if discomfort increases after several days instead of decreasing, let us know so we can evaluate the area.
Good oral hygiene is essential for implant success. During the first 24 hours, avoid brushing the implant site directly. Starting the next day, gently clean the area with a soft-bristled toothbrush, avoiding aggressive scrubbing. Rinse with warm saltwater (½ teaspoon salt in 8 ounces of water) several times per day, especially after meals. This keeps the tissues clean and reduces inflammation. If you were given an antimicrobial rinse, use it as instructed. Continue brushing and flossing the rest of your teeth as normal. Maintaining a healthy mouth helps your implant integrate successfully.
Your diet plays an important role in healing. Soft foods such as oatmeal, smoothies, eggs, mashed potatoes, yogurt, soup, or pasta are ideal for the first several days. Chew away from the surgical site when possible. Avoid hot beverages for 24 hours, and skip crunchy, sticky, spicy, or hard foods that could irritate the area. Gradually reintroduce firmer foods as your comfort improves. If you received multiple implants or a treatment like All-on-4, we may recommend a soft-chew diet for a longer period. For patients considering full-arch implants or wanting more information about these systems, our All-on-4 page is a helpful reference: https://osunadentalcare.com/all-on-4-implants.
If your treatment included a bone graft or sinus augmentation, protecting these areas is especially important. You may notice small granules in your mouth during the first few days—this is normal as the graft material stabilizes. Do not disturb the area by pulling your lip, touching it with your tongue, or using suction. Avoid blowing your nose forcefully and sneeze with your mouth open if you had a sinus lift. Many patients receiving bone grafts want to understand why grafting is recommended; our tooth replacement options guide offers a helpful overview: https://osunadentalcare.com/tooth-replacement-options-in-albuquerque-nm.
Some patients receive temporary crowns, temporary bridges, or temporary removable appliances while the implant heals. These are designed to protect your smile and restore appearance—but they are not intended for heavy chewing. Avoid hard foods on the temporary restoration, and follow our instructions closely to prevent unnecessary pressure on the new implant. Once the implant integrates fully with the bone, we will take digital impressions to create your final ceramic crown, implant denture, or full-arch prosthesis. Patients researching implant-supported dentures during healing may find more details here: https://osunadentalcare.com/implant-dentures-in-albuquerque.
Normal healing signs include mild swelling, minor bleeding, slight bruising, and general tenderness. These typically improve every day. Contact us immediately if you experience increasing pain after several days, excessive bleeding, fever, foul taste or discharge, or movement of the implant site. Prompt evaluation protects the implant and helps ensure a smooth recovery. Complications are rare and usually preventable with proper post-operative care, but early communication is essential if something feels unusual.
Your implant needs several months to fuse fully with the jawbone. This process, called osseointegration, is what creates the strength and stability that implants are known for. During this time:
Maintain excellent oral hygiene
Attend all follow-up appointments
Keep the area free from irritation
Avoid chewing hard foods directly on the implant until cleared
Patients who grind their teeth may benefit from a protective night guard to prevent excessive pressure on the new implant. Long-term implant success depends on keeping the surrounding gums healthy and maintaining consistent dental checkups.
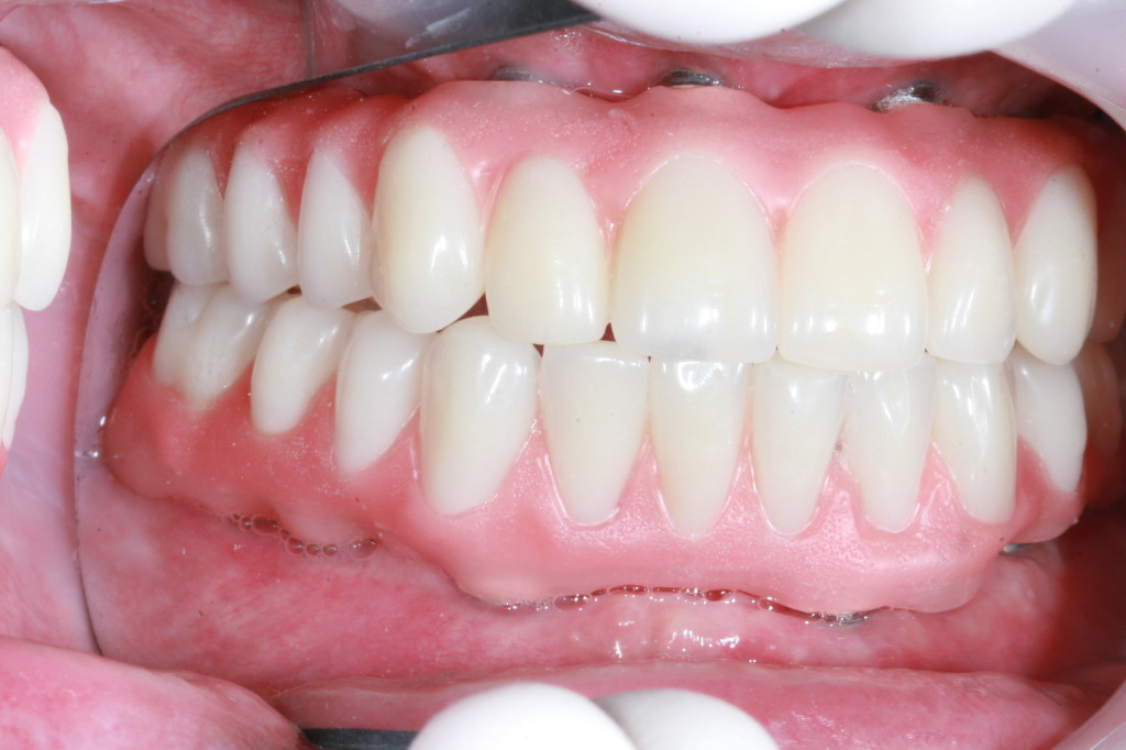
Once healed, dental implants function just like natural teeth. You can enjoy your favorite foods, smile confidently, and maintain bone structure that would otherwise shrink after tooth loss. Many patients choose implants because they offer the strongest long-term value of any tooth replacement option. For those exploring broader restorative solutions—including full-mouth implants, implant bridges, or snap-in dentures—our implant pages offer detailed comparisons and visual explanations.
Early healing typically takes one to two weeks, but full integration with the bone takes several months.
Avoid brushing directly on the site the first day. After that, gentle cleaning helps keep tissues healthy.
No smoking, alcohol, straws, hard foods, or vigorous rinsing during early recovery.
Soft foods are recommended for several days. Patients with multiple implants or All-on-4 may follow a modified diet longer.
Mild discomfort is normal and usually improves quickly. Increasing pain after several days should be evaluated.
Your healing and long-term implant success matter to us. Osuna Dental Care with Drs. Chris Kim and Christopher Graham proudly serves patients across Albuquerque—including North Albuquerque Acres, Far Northeast Heights, Osuna Park, and La Cueva—with advanced implant dentistry and personalized post-operative guidance. If you have any questions or concerns during recovery, our team is here to help. Contact us today for support or to schedule your follow-up appointment.
Osuna Dental Care
5900 Cubero Dr NE STE B
Albuquerque, NM 87109
(505) 884-1989
If you’re searching for an “emergency dentist near me”, we offer same-day appointments for pain relief, broken teeth, or lost crowns.
Call (505) 884-1989
We believe everyone deserves a confident, healthy smile.
Cash, Credit, or Check accepted
Payment Plans / Financing available through Cherry, CareCredit, Sunbit
Works with most dental insurances, including: Delta Dental, Aetna, Metlife, Cigna, Ameritas, Guardian, Humana, Blue Cross Blue Shield, United Health Care, United Concordia, and Medicare dental plans.
Office Location: 5900 Cubero Dr NE STE B, Albuquerque, NM 87109
Serving: Albuquerque, Rio Rancho, North Valley, Los Ranchos De Albuquerque, Northeast Heights, Uptown, and surrounding New Mexico communities
Osuna Dental Care | Dentist in Albuquerque, NM
Comprehensive Family, Cosmetic, and Implant Dentistry
5900 Cubero Dr NE STE B, Albuquerque, NM 87109
(505) 884-1989
Convenient Location Near:
Albuquerque Academy
Paseo del Norte & I-25 intersection
Jefferson Middle School
Academy and Wyoming
Easy access from Northeast Heights
Parking: Free, ample parking available directly in front of our office
Phone: (505) 884-1989
Office Hours:
Monday: 7:00 AM - 4:00 PM
Tuesday: 7:00 AM – 4:00 PM
Wednesday: 7:00 AM – 5:00 PM
Thursday: 8:00 AM – 5:00 PM
Friday: 7:00 AM – 4:00 PM
Saturday, Sunday: Closed